Εργαστήριο φυσικοθεραπείας & κατ'οίκον φυσιοθεραπεία.
Κατ' οίκον φυσικοθεραπεία σε απόσταση εως 20 Χλμ. από την Κομοτηνή, εξυπηρετεί όλη την Κομοτηνή.
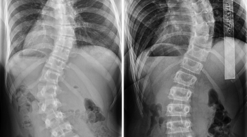
Σε ένα άνετο και εύκολα προσβάσιμο χώρο φτιαγμένο με απόλυτο γνώμονα τον άνθρωπο ο Αδνάν Ναλμπάντ, απόφοιτος του Τμήματος Φυσικοθεραπείας του ΤΕΙ Αθήνας, μεταπτυχιακό Ιατρικής σχολής ΔΠΘ, με εξειδίκευση στην Μηχανική Διάγνωση και Θεραπεία (McKenzie), στην μέθοδο Schroth για την σκολίωση και κύφωση αλλά και στην Φυσικοθεραπεία Πυελικού Εδάφους (Men's Health Physiotherapy). Mε πολυετή εμπειρία στο δημόσιο και ιδιωτικό τομέα, αλλά και στο εξωτερικό, με διδακτική εμπειρία σε ΙΕΚ , άνοιξε το νέο του Φυσικοθεραπευτήριο στην Κομοτηνή επί της οδού Όθωνος 2 έναντι Arena Parking
φυσικοθεραπεία, φυσικοθεραπευτής, φυσικοθεραπευτές, εοπυυ, φυσικοθεραπευτής εοπυυ, ισχιαλγία, οσφιαλγία, αυχενικό, φυσικοθεραπεία πυελικού εδάφους, ακράτεια, φυσικοθεραπευτες κομοτηνη, φυσικοθεραπεια κομοτηνη, φυσικοθεραπεια, φυσικοθεραπευτης, schroth, σκολίωση, κύφωση, McKenzie